Városlista
2026. április 3, péntek - Buda, Richárd

Hírek

2016. Május 02. 13:56, hétfő | Belföld
Forrás: mti

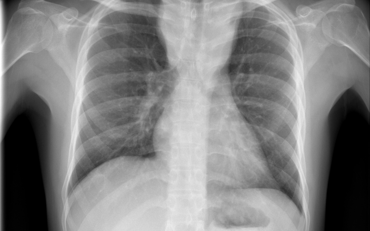
Terjed a tbc Szatymazon?

Terjed a tbc Szatymazon?

Hétfő reggel óta tbc-tesztet végeznek el a gyerekeken egy szatymazi általános iskolában, ahol egy hete fertőző tüdőbetegségben halt meg egy korábban ott dolgozó nő - közölték az M1 aktuális csatorna déli Híradójában.

A Délmagyar hírportál hétfő reggel írt arról, hogy februárig dolgozott a szatymazi iskolában közmunkásként az nő, aki tuberkulózisban (tbc) halt meg egy hete. Az ügyben rendkívüli szülői értekezletet tartottak. Az általános iskola 260 tanulója közül szülői beleegyezéssel 250-en végzik el a tbc-tesztet.

Az M1 tudósítója a helyszínről azt mondta: több szülővel beszéltek, ők nem voltak megriadva; elmondták, hogy az iskola azonnal tájékoztatta őket arról, mi történt a nővel, aki takarítóként dolgozott az iskolában február végéig. A tudósító megjegyezte, a tbc tüneteinek lappangási ideje 28-30 nap, ez az idő már letelt, de egyetlen gyereken sem tapasztaltak egyetlen tünetet sem.

Felidézték, hogy Magyarországon 1954 óta kötelező a tbc elleni védőoltás. Most az iskola diákjain biztonsági intézkedésként végzik el az úgynevezett Mantoux-tesztet, amely kimutatja, hogy védettek-e a tbc ellen. Ezt a tesztet később, három és hat nap múlva is megismétlik - hangzott el a Híradóban.

Április elején egy debreceni óvodában volt szükség hasonló intézkedésekre, mert az intézmény egyik dolgozója tüdőtuberkulózissal fertőződött meg.

Címkék: betegség, szatymaz, tüdő, tbc

Ezek érdekelhetnek még

2026. Április 03. 14:00, péntek | Belföld

Tavaszias idő várható a húsvéti hosszú hétvégén

2026. Április 03. 08:58, péntek | Belföld

Magyarországra látogat az Amerikai Egyesült Államok alelnöke

Április 7-8-án Magyarországra látogat J.D. Vance, az Amerikai Egyesült Államok alelnöke és felesége - tájékoztatta az MTI-t a Miniszterelnöki Kommunikációs Főosztály.

2026. Április 02. 15:00, csütörtök | Belföld

KSH: a GDP-arányos hiány 4,7 százalékos volt 2025-ben

2026. Április 02. 13:00, csütörtök | Belföld

A cseh elnök szerint Szijjártó teljesen elvesztette a hitelességét, Szijjártó válaszolt

Lavrovval folytatott szívélyes beszélgetései miatt adott hangot félelmeinek a cseh elnök.